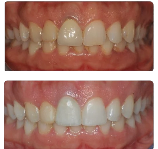
Dental Implants
Dental implants offer a permanent and natural-looking solution for missing teeth. They look, feel, and function just like real teeth, restoring your ability to eat, speak, and smile with confidence. Whether you’re missing a single tooth or several, implants provide a long-lasting and comfortable alternative to dentures or bridges.























